Publicador de continguts

Recerca

Caracterització dels rars casos de càncer cervical que no es deuen a la infecció pel virus del papil•loma humà

Investigadors d'ISGlobal mostren que els tumors cervicals negatius pel VPH són poc freqüents però de pitjor pronòstic

20.05.2015
Foto: NIH

Un estudi codirigit pel Dr. Jaume Ordi, dISGlobal, mostra que els carcinomes realment negatius per al virus del papil·loma humà (VPH) són poc freqüents però representen un tipus diferent de càncer cervical, més agressiu i mortal. 

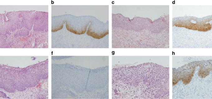
Encara que la prevalença d'infecció per VPH en càncer cérvico-uterí és molt alta, un petit percentatge de casos són negatius pel virus i semblen tenir un pitjor pronòstic. L'objectiu de l'estudi va ser tornar a analitzar tumors cervicals VPH-negatius usant una metodologia de detecció molecular molt sensible, i determinar les característiques clíniques i patològiques dels casos confirmats com a negatius. Els resultats mostren que la meitat dels tumors "negatius" va resultar positiva pel virus amb tècniques d'amplificació molecular més sensibles. Encara que el percentatge de dones amb tumors realment negatius va ser molt baix en l'estudi (un 5% del total), van presentar una major incidència de adenocarcinomes, en un estadi més avançat i un major grau de metàstasi. 
Els autors conclouen que els carcinomes cervicals negatius per VPH són poc freqüents però estan associats a un major risc de progressió i mortalitat

El VPH és la infecció més comuna del tracte reproductor i generalment s'elimina al cap d'uns mesos. No obstant això, un petit percentatge d'infeccions persisteix i progressa a càncer al cap d'uns anys. La gran majoria de casos de càncer cervical es deu a la infecció per VPH. És la quarta causa de càncer en dones i en 2012 va provocar més de 270.000 morts, la majoria d'elles en països en desenvolupament.

Referencia:

Rodríguez-Carunchio L, Soveral I, Steenbergen RD, Torné A, Martinez S, Fusté P, et al. HPV-negative carcinoma of the uterine cervix: a distinct type of cervical cancer with poor prognosis. 2015.  BJOG. 122(1):119-27.