Asset Publisher

Research

The P16 Protein Is Not a Good Marker of Progression for Cervical Cancer

A large prospective study shows that p16 has limited value in predicting the outcome of cervical lesions

01.12.2015

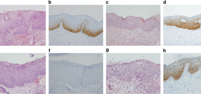
The value of the tumor suppressor protein p16 as a marker of progression towards cervical cancer has been questioned by a prospective study with more than 500 patients. The study performed by ISGlobal and IDIBAPS-Hospital Clinic researchers and published in the journal Modern Pathology, shows that the overexpression of such protein in biopsies confirmed as low-grade lesions does not increase the risk of progressing towards high-grade lesions and cervical cancer.  

Infection by the Human Papilloma Virus (HPV) can cause lesions in the cellular epithelium that generally regress after a couple of years. However, around 15% of such lesions progress to a more advanced stage: the so-called high-grade lesions, considered the immediate precursor of cervical cancer. To date, there is no clinical, histological or virological method that permits to identify which low-grade lesions will progress towards the high-grade stage. It has been proposed that the tumor suppressor protein p16 may serve as a marker of progression, since its expression is detected in almost all high-grade lesion biopsies.

The aim of this study was to evaluate the usefulness of p16 in predicting the outcome of biopsies confirmed as low-grade lesions. For this, the authors followed a large cohort of patients during an average of 28 months. When re-evaluating biopsies with strictly defined criteria, they found that, in patients with confirmed low-grade lesions, a positive p16 staining was not associated with a greater risk of progression to high-grade lesions.  The authors conclude that p16 expression has little predictive value in the clinics, but it can still be used to confirm the diagnosis of high-grade lesions

Cervical cancer is caused by sexually acquired infection with certain types of HPV and is the second cause of cancer among women in less developed regions, leading to almost 300.000 deaths every year.