Exposure to Pollution During Pregnancy Linked with Changes in Fetal Brain Structures
A study involving over 700 pregnant women analyzes for the first time how air pollution may affect fetal brain development
12.06.2025
Fetuses more exposed to certain air pollutants show changes in the size of specific brain structures, particularly during the second and third trimesters of pregnancy. This is the main finding of a new study led by the Barcelona Institute for Global Health (ISGlobal), a center supported by the ”la Caixa” Foundation, in collaboration with the BCNatal center (Hospital Sant Joan de Déu, Hospital Clínic, and University of Barcelona) and the Hospital de la Santa Creu i Sant Pau. It is the first study to specifically examine the association of air pollution on fetal brain development during pregnancy.
The study, published in The Lancet Planetary Health, analyzed data collected between 2018 and 2021 from 754 mother-fetus pairs participating in the BiSC (Barcelona Life Study Cohort) project in Barcelona. This study aimed to understand the association of air pollution on child health and brain development, and is considered one of the most comprehensive studies in this field.
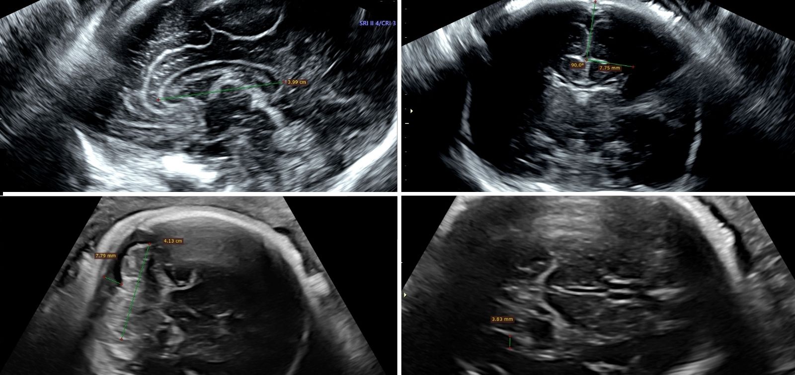
During the third trimester of pregnancy, participants underwent transvaginal neurosonography, a specialized ultrasound that allows the analysis of fetal brain shape and structures. Exposure to nitrogen dioxide (NO₂), particulate matter (PM2.5), and black carbon was estimated with hybrid models that combine data from real measurements with advanced statistical methods. The research considered three “microenvironments”: the participants’ homes, workplaces, and commuting routes. Data on activity patterns were collected via a geolocation app installed on the participants’ mobile phones.
The research team observed that prenatal exposure to NO₂, PM2.5, and black carbon in all aforementioned microenvironments combined was associated with an increase in the volume of various brain cavities that contain cerebrospinal fluid. Specifically, direct associations were identified between exposure to these pollutants and increased volume of the lateral ventricles, located in each brain hemisphere, as well as an enlargement of the cisterna magna, a cavity located at the lower part of the brain. An increase in the width of the cerebellar vermis —the central part of the cerebellum, essential for balance and motor coordination— was also detected.
The study results also showed an association between higher exposure to black carbon and a reduction in the depth of the lateral sulcus (also known as the Sylvian fissure), a deep groove that runs through the brain, which might suggest less maturation of the brain.
The associations between exposure to air pollution and changes in the morphology of these brain structures were stronger during the second and third trimesters of pregnancy. “During mid to late gestation, the fetal brain enters a key phase of its development, making it particularly vulnerable to external factors such as pollution,” explains Payam Dadvand, ISGlobal researcher and a senior author of the study.
“As clinicians, we are now seeing compelling evidence that even in pregnancies that appear healthy by all conventional measures, factors such as air pollution can subtly affect fetal brain development. These findings underline the importance of increased awareness and education, both within the health community and across society,” say Elisa Llurba and Lola Gómez-Roig, clinicians at the Hospital de Sant Pau and BCNatal-Hospital Sant Joan de Déu, respectively, and co-authors of the study.
Significant Differences at the Population Level
The observed effects do not imply that the children participating in the BiSC project have pathological brain alterations. In fact, all measurements of the participants’ brain structures are within the range considered normal. “The point is that these differences, although small at the individual level, are indeed relevant from a population perspective, as they inform us about how pollution affects the fetal brain and its vulnerability to environmental exposures,” says Laura Gómez-Herrera, ISGlobal researcher and co-lead author of the study.
The research team emphasizes the need for further studies to confirm these findings and track their potential consequences over time. “At this stage, we can only report having observed differences in the brains of fetuses with higher exposure to pollution compared to those with lower exposure. Additional research is needed to determine whether these effects are reversible after birth or if they persist, and whether they have any implications for neurodevelopmental outcomes in later stages,” emphasizes Jordi Sunyer, a senior author of the study.
Despite the uncertainties that remain, this study could have significant implications for public health policy. “Our findings strengthen the evidence supporting the need to reduce pregnant women’s exposure to air pollution, particularly in urban settings,” says Yu Zhao, ISGlobal researcher and co-lead author of the study.
Reference
Laura Gómez-Herrera, Yu Zhao, Ioar Rivas, Elisenda Eixarch, Carla Domínguez-Gallardo, Toni Galmes, Marta Muniesa, Maria Julia Zanini, Alan Domínguez, Marta Cirach, Mark Nieuwenhuijsen, Xavier Basagaña, Xavier Querol, Maria Foraster, Mariona Bustamante, Jesus Pujol, Mireia Gascon, Elisa Llurba, María Dolores Gómez-Roig, Payam Dadvand, Jordi Sunyer. Air pollution and foetal brain morphological development: a prospective study. The Lancet Planetary Health, Vol 9, June 2025. https://doi.org/10.1016/S2542-5196(25)00093-2

