Asset Publisher

Research, Malaria Elimination

Basic and Applied Research Approaches Focusing on 'Plasmodium falciparum' Gametocytes

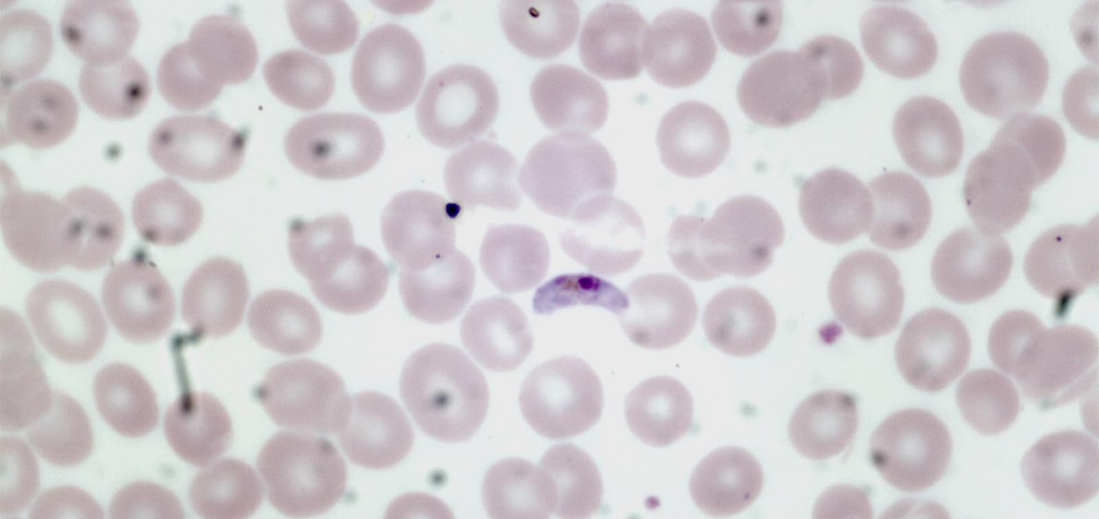
Plasmodium falciparum gametocyte
Photo: Vivien Rolfe / Flickr
Date
11/12/2019
Hour
16.00 h
Place
Esther Koplowitz Centre (room 1-2, ground floor)
(Rosselló, 153) Barcelona
Speakers
Till Voss (Swiss Tropical & Public Health Institute)

Dr Till Voss, Associate Professor for Molecular Parasitology at the Swiss Tropical & Public Health Institute, will give an open seminar on basic and applied research approaches focusing on Plasmodium falciparum gametocytes. It will take place at the Esther Koplowitz Centre (room 1-2, ground floor), on December 11.

Till Voss

He obtained his PhD in 2002 and an MSc in 1997, both at the University of Basel, Swiss Tropical Institute, Dept. of Medical Parasitology and Infection Biology. Since 2006, Till Voss is group leader of the Gene Regulation Lab. His research interests are epigenetic control of gene expression in malaria parasites: antigenic variation and sexual commitment/differentiation.

From 2011 to 2014, he was Assistant Professor for Molecular Parasitology (Swiss TPH/University of Basel). Previously, from he worked at the Swiss National Science Foundation as professor (2006-2012) and as postdoctoral fellow at the Walter and Eliza Hall Institute of Medical Research, Australia (2002-2006).